周围神经损伤(PNI)是一种常见的神经创伤性疾病,由创伤导致周围神经功能丧失引发。其可能造成感觉、运动和自主神经功能部分或完全丧失,并引发神经性疼痛。尽管周围神经具有一定再生能力,但自然愈合过程往往难以实现功能的完全恢复。目前,自体神经移植被视为治疗严重神经缺损的金标准,然而供体来源有限、供区病损等问题严重限制了其治疗效果。因此,周围神经损伤的修复仍是一项亟待关注的重大治疗挑战。

针对周围神经损伤修复难题,华东理工大学李玉林教授与复旦大学中山医院江立波副研究员、张键合作,设计了一种导电 - 压电集成微结构导管:通过静电纺丝技术将聚乳酸 - 乙醇酸共聚物(PLGA)与聚偏氟乙烯(PVDF)制成可植入、生物可降解的压电纳米纤维膜,并进一步复合还原氧化石墨烯/甲基丙烯酸化明胶(rGO/GelMA)凝胶,协同促进周围神经修复。体外实验表明,导管表面的微沟槽结构可有效刺激细胞定向迁移;利用大鼠坐骨神经损伤模型的研究证实,rGO 能显著调节细胞氧化应激水平,进而促进神经修复;此外,低强度脉冲超声(LIPUS)诱导产生的温和电刺激可增强运动功能恢复。这些研究结果表明,rGO/GelMA@PVGA 复合导管具有多方面优势,集物理引导、氧化应激抑制和超声激活电刺激于一体,提供了一种前所未有的多模态协同策略,在周围神经损伤的临床治疗中具有巨大潜力。相关研究成果以“Stepwise Regulation of Cellular Oxidative Stress via Conductive‐Piezoelectric Integrated Microstructured Conduits for Enhanced Nerve Regeneration”为题目,发表在期刊《Advanced Science》上。

图 1. 用于靶向动态调节氧化应激及自供能的导电 - 压电集成微结构导管的制备过程示意图,及其在体内外加速神经修复中的作用。图中显示,微沟槽结构可增强细胞黏附与增殖;氧化石墨烯(GO)与甲基丙烯酸化明胶(GelMA)水凝胶被列为细胞氧化应激调节剂,而超声介导的压电激活因其在促进神经再生中的作用而备受关注。

图 2. 聚偏氟乙烯(PVDF)、聚乳酸 - 乙醇酸共聚物(PLGA)及 PVGA 纳米纤维膜的表征。A) 扫描电子显微镜(SEM)及能量色散谱(EDS)元素分布图;B) 傅里叶变换红外光谱(FTIR)图;C) X 射线衍射(XRD)图谱;D) 热重分析(TGA)曲线;E) d₃₃压电常数;F) PLGA 纳米纤维膜的压电振幅;G) PLGA 纳米纤维膜的压电相位;H) PVGA 纳米纤维膜的压电振幅;I) PVGA 纳米纤维膜的压电相位;J) PVGA 纳米纤维膜在无/有低强度脉冲超声(LIPUS)激发下的输出电压。
rGO/GelMA@PVGA 复合导管的形貌、力学及降解性能
随着 rGO 浓度的增加,凝胶内部的孔隙也随之增多,但当浓度增至 1.0 mg・mL⁻¹ 时,由于溶液颜色过深、遮光性强,水凝胶内部难以实现完全光交联,导致内部孔隙不均匀。通过 SEM 进一步分析导管的表面形貌,可见导管表面的脊和沟槽相互平行,脊宽和槽宽约为 10/15 μm,槽深约为 5 μm,导管厚度约为 90 μm(图 3A)。从截面图可观察到,凝胶与纳米纤维膜之间无明显界面,形成一体化膜结构(图 3B)。
对比图 3C 中三种材料的应力 - 应变曲线,可见其力学性能无显著差异,杨氏模量和断裂伸长率的下降幅度较小(图 3D、E)。图 3F 显示,PVGA、GelMA@PVGA 和 rGO/GelMA@PVGA 的拉伸强度分别为 1.98±0.65 MPa、2.95±0.40 MPa 和 3.58±0.51 MPa,表明添加 GelMA 和 rGO 可提高材料在静态拉伸作用下的最大断裂拉伸强度。与 PVGA 纳米纤维膜相比,表面的 rGO/GelMA@PVGA 导管膜可通过电流点亮发光二极管(LED),直观证实了 rGO/GelMA@PVGA 导管用于神经修复的导电性(图 3G、H)。
此外,通过扫描电子显微镜观察 rGO/GelMA@PVGA 导管膜在降解过程中的表面形貌变化(图 3J-M),发现浸泡 28 天后,凝胶沟槽出现缺陷,底部的 PVGA 膜暴露;56 天时,表面凝胶沟槽出现更多缺陷,脊宽显著减小,底部大部分 PVGA 纳米纤维膜暴露,表面凝胶已降解。凝胶降解可释放内部的 rGO,进而清除活性氧(ROS)。

图 3. 微图案化 rGO/GelMA@PVGA 导管膜的微观形貌:A) 表面和 B) 截面。展示了 PVGA、GelMA@PVGA 及 rGO/GelMA@PVGA 导管膜的力学性能:C) 应力 - 应变曲线、D) 拉伸模量、E) 断裂伸长率及 F) 拉伸强度。G) rGO/GelMA@PVGA 导管膜及 H) PVGA 纳米纤维膜与发光二极管(LED)的电路连接示意图。PVGA、GelMA@PVGA 及 rGO/GelMA@PVGA 导管膜的降解性能:I) 质量损失;J–M) 降解 14 天、28 天、42 天及 56 天的形貌变化。

图 4. 雪旺细胞(SCs)的黏附与增殖。A) 雪旺细胞(SCs)培养 1 天和 7 天后的活/死细胞荧光染色图;B) 雪旺细胞(SCs)培养 1-7 天的 CCK-8 检测结果;C) 雪旺细胞(SCs)在 rGO/GelMA@PVGA 膜有/无沟槽结构表面培养后的黏附情况扫描电子显微镜(SEM)图。
抗氧化压电神经导管通过减轻线粒体氧化应激抑制细胞凋亡
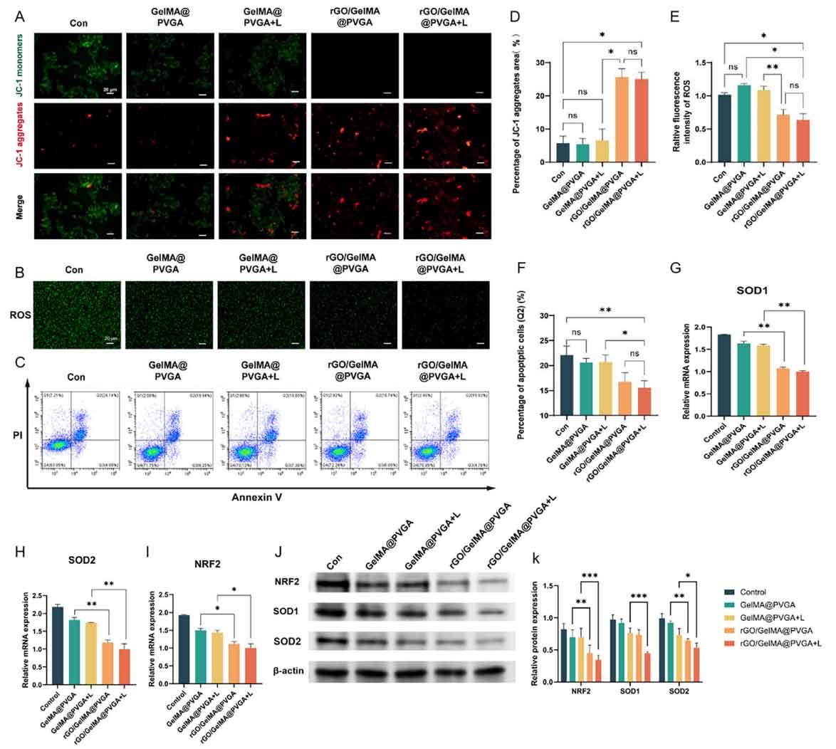
图 5A 显示,各组细胞经 20 ng・mL⁻¹ 肿瘤坏死因子 -α(TNF-α)刺激 24 小时后,水凝胶中不含 rGO 的组细胞氧化应激水平较高;活性氧(ROS)染色结果显示,rGO/GelMA@PVGA 组和 rGO/GelMA@PVGA+L 组的细胞内 ROS 释放量显著降低(图 5B)。流式细胞术凋亡检测进一步表明,减轻线粒体损伤和抑制氧化应激可潜在缓解损伤后的细胞凋亡(图 5C)。ROS 定量分析显示,rGO 吸附可显著降低 ROS 表达,减轻线粒体损伤(图 5D、E)。已知过量氧化应激会损伤细胞功能并触发程序性细胞死亡,图 5F 显示,与 GelMA@PVGA+L 对照组相比,rGO 修饰组的早期凋亡细胞(Q2 象限)比例显著降低。图 5G-I 显示,GelMA@PVGA+L 组和 rGO/GelMA@PVGA+L 组的抗氧化基因表达显著降低,且 rGO 修饰后相关蛋白表达也显著下调(图 5J、K)。这些结果证实,rGO 可有效降低 ROS 表达,减轻线粒体损伤。

图 5. 雪旺细胞(SCs)的氧化应激与凋亡。A) 线粒体 JC-1 染色图;B) 活性氧(ROS)染色荧光图;C) 流式细胞术检测 Q2 象限凋亡情况;D) 线粒体 JC-1 染色半定量分析;E) 总活性氧(ROS)水平半定量分析;F) 流式细胞术凋亡率定量分析。抗氧化基因表达:G) 超氧化物歧化酶 1(SOD1)、H) 超氧化物歧化酶 2(SOD2)、I) 核因子 E2 相关因子 2(NRF2);J) 雪旺细胞(SCs)中 SOD1、SOD2 及 NRF2 的蛋白质印迹(Western blot)分析;K) 蛋白质印迹灰度值半定量分析 —— 以 β- 肌动蛋白(β-actin)为内参,SOD1、SOD2 及 NRF2 的表达谱。
抗氧化压电神经导管在体内减轻氧化应激并促进神经再生
图 6A 显示,术后 2 周损伤部位的 ROS 水平,rGO/GelMA@PVGA 组和 rGO/GelMA@PVGA+L 组(凝胶中含 rGO)均展现出显著的 ROS 清除能力,能有效减轻神经损伤后的氧化应激;但与 rGO/GelMA@PVGA 组相比,rGO/GelMA@PVGA+L 组的 ROS 清除能力未显著增强,表明低频率脉冲超声产生的电刺激联合作用不会影响氧化应激水平。术后 8 周,对神经进行神经丝蛋白 200(NF200)免疫荧光染色,通过荧光面积强度和比例评估再生程度(图 6B)。半定量结果显示,rGO 抗氧化应激联合低频率脉冲超声电刺激组的 NF200 阳性面积显著高于其他组,表明其具有强大的神经再生促进潜力(图 6C、D)。

图 6. 神经元活性氧(ROS)及再生特异性蛋白荧光染色。A) 2 周时活性氧(ROS)荧光染色图(第一行比例尺 = 500 μm,第二行比例尺 = 100 μm);B) 8 周时神经丝蛋白 200(NF200)荧光染色图;C) 活性氧(ROS)及 D) 神经丝蛋白 200(NF200)的半定量分析。

图 7. 再生神经及靶肌肉的病理评估。A) 术后 8 周再生神经的透射电子显微镜(TEM)分析图;B) 髓鞘厚度及 C) 面积比的半定量分析;D) 术后 8 周腓肠肌的苏木精 - 伊红(H&E)染色及 Masson 三色染色图;E) 肌肉湿重比及 F) 胶原面积比的半定量分析。
抗氧化压电神经导管在体内改善运动功能
采用 CatWalk 系统评估大鼠植入后 4 周和 8 周的运动功能(图 8A)。4 周时的结果显示,rGO/GelMA@PVGA+L 组与 rGO/GelMA@PVGA 组无显著差异,但两组均优于对照组,表明 rGO 对氧化应激的调控可促进运动功能恢复(图 8B);8 周时,这种差异更为显著,且 rGO/GelMA@PVGA+L 组手术侧(左后肢)与对照侧(右后肢)的按压深度比最接近 1(图 8C),与 rGO/GelMA@PVGA 组相比改善显著,表明添加低强度脉冲超声可通过微弱电刺激增强运动功能恢复,这一结果通过坐骨神经指数(SFI)直接证实(图 8D)。复合肌肉动作电位(CMAP)和神经传导速度(NCV)检测结果显示,rGO/GelMA@PVGA+L 组可显著促进神经肌肉功能恢复。此外,术后 8 周大鼠主要器官的苏木精 - 伊红(H&E)染色结果显示(支持信息图 S15),肺、肝、肾、脾和心脏均无显著炎症浸润,表明该复合支架在体内神经再生过程中具有良好的生物相容性,具有潜在应用价值。

图 8. 大鼠的行为学分析。A) 4 周和 8 周时,通过 CatWalk 系统检测大鼠手术侧(左后肢)的足迹强度;B、C) 4 周和 8 周时,手术侧与对照侧的足迹强度比值分析;D) 坐骨神经指数分析。
原文链接:https://doi.org/10.1002/advs.202516124